Coroanele din ceramica pe suport de zirconiu a fost solutia aleasa in acest caz pentru rezultate functionale, dar si pentru rezultate estetice pentru pacienta noastra, Andreea.
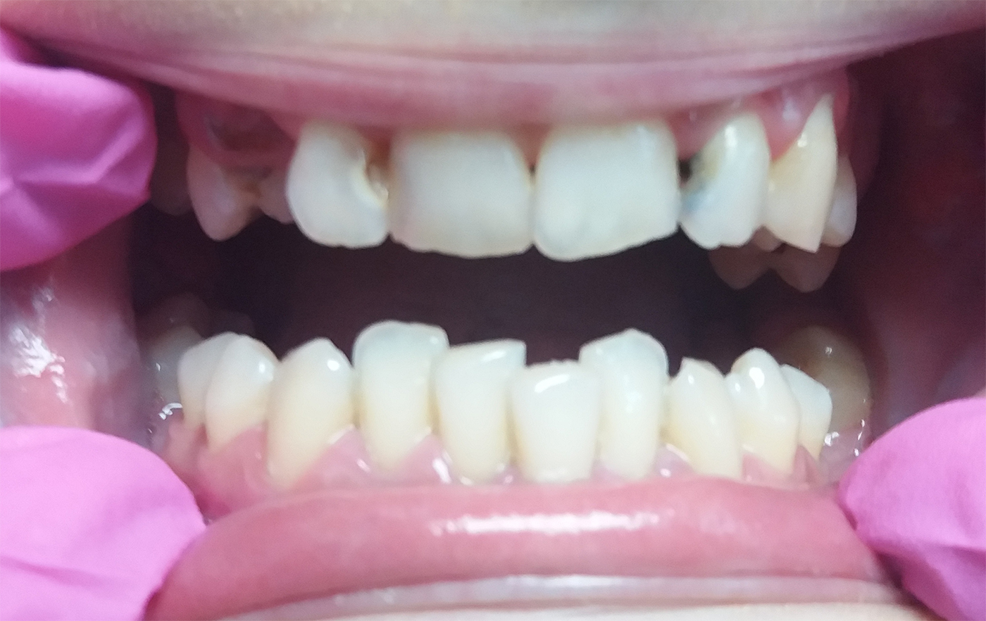
Astfel, Andreea s-a prezentat la cabinetul stomatologic acuzand dureri si fiind nemultumita de aspectul dintilor ei.
Au fost constatate multiple leziuni carioase masive, resturi de dinti irecuperabili si sensibilitate dentara, datorata abraziunii.

S-a recurs la utilizarea coroanelor dentare din ceramica pe zirconiu, dintii irecuperabili fiind restaurati prin implanturi dentare:
La arcada superioara au fost inserate implanturi pe partea stanga, iar la arcada inferioara au fost inserate implanturi pe zonele laterale. Au fost realizate gingivectomii la ambele arcade pentru a obtine un zambet perfect.
Gingivectomiile au fost realizate cu ajutorul laserului, care nu implica niciun fel de sangerare, fiind necesara o cantitate mica de anestezic in acest caz.
Procedura clasica de indepartare a tesutului gingival se realizeaza cu bisturiul si poate fi destul de neplacuta pentru pacient, insa cu ajutorul laserului putem realiza acest lucru intr-un mod rapid, eficient si confortabil. Asadar, in cadrul unei singura vizite la cabinetul stomatologic se poate realiza aceasta procedura pe mai multi dinti iar pacientul isi poate relua imediat activitatea.
Au fost utilizate implanturi Megagen AnyRidge, realizate din aliaj din titan cu puritate inalta, un implant cu spire adanci care duce la o stabilitate initiala foarte buna si indeplineste cele mai importante criterii estetice si functionale.

Situatia comparativa se vede mai jos.