Pacienta a venit in clinica pentru a-si proteza implanturile din zonele laterale si a-si inlocui lucrarile vechi.
In urma controlului fizic si radiologic am constatat prezenta unor pivoti metalici si a unot infectii pe dintii frontali.

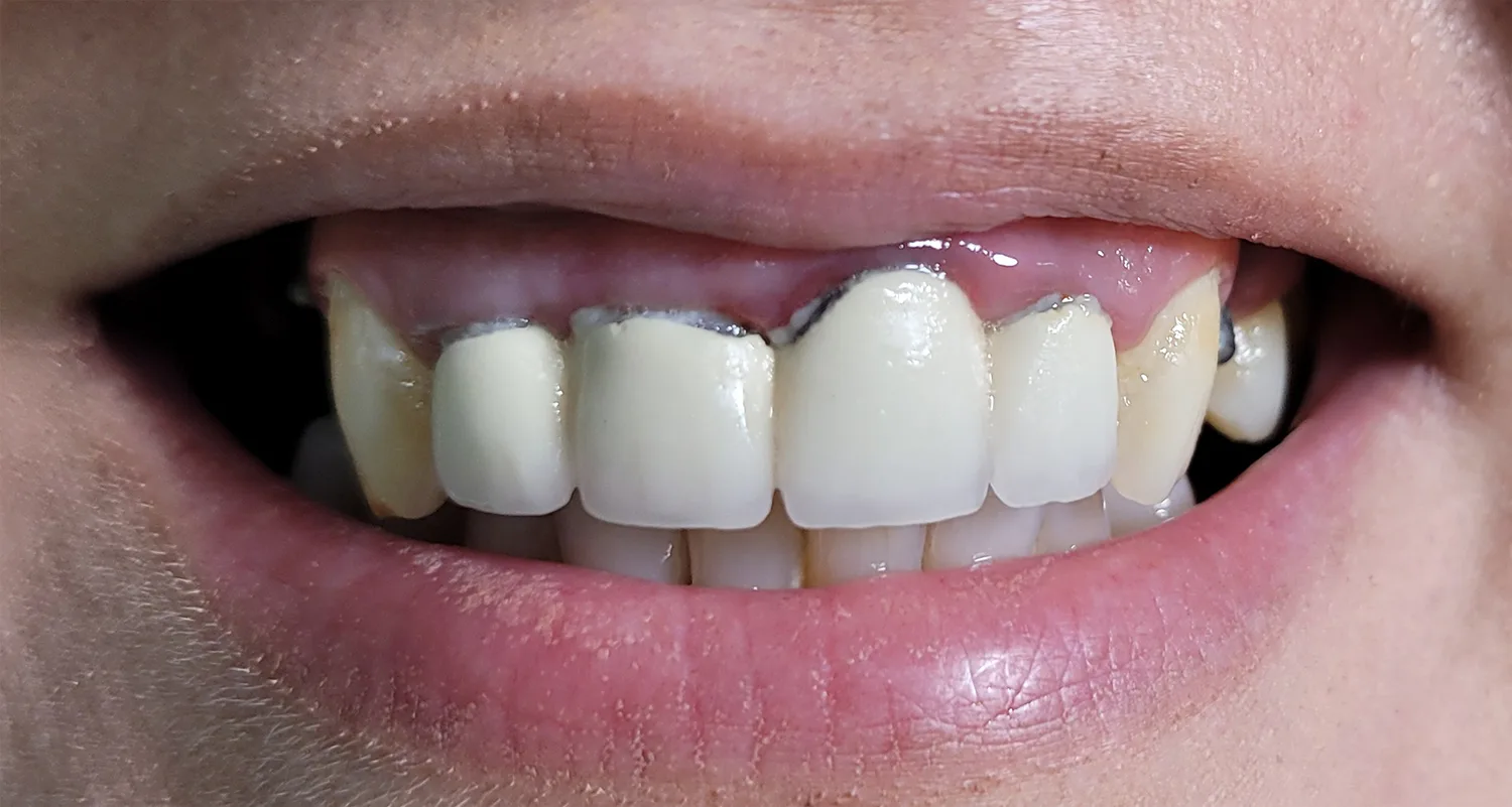
Deoarece pacienta locuieste in strainatate si nu a avut decat 3 zile la dispozitie in prima etapa am programat interventiile la microscop pentru indepartarea pivotilor si tratamentul infectiilor, care au fost realizate intr-o zi, de asemenea au fost realizate gingivectomii pentru a imbunatati estetica zambetului si a fost amprentata pacienta in vederea realizarii probei de zambet.
Solutia aleasa a fost coroane individuale zirconiu multilayer.
Pacienta a plecat, purtand lucrari provizorii.
Dupa doua saptamani de la amprentare pacienta s-a intors si i-au fost montate coroanele dentare care au fost realizate din zirconiu multilayer.

Din momentul in care pacienta a venit in clinica si pana la montarea lucrarilor definitive au trecut 3 saptamani.